Efekty leczenia
Chcesz rozpocząć leczenie, ale masz jeszcze wątpliwości? Mamy na to sposób. Przedstawiamy Ci przypadki/historie ludzi, którzy odzyskali pewność siebie i radość życia dzięki leczeniu w Zdrowit Stomatologia? Zobacz Pacjentów, którzy zaufali naszym lekarzom i powierzyli im swoje zdrowie. Aby lepiej zrozumieć zakres naszych możliwości, przygotowaliśmy zestawienie zdjęć przed i po leczeniu, pokazujące autentyczne metamorfozy. Dowiedz się, z jakimi problemami zgłosili się do nas Pacjenci i jakie rozwiązania zastosowaliśmy, aby przywrócić im piękny uśmiech.
Przekonaj się, jakie niesamowite rezultaty możemy osiągnąć dzięki naszemu wieloletniemu doświadczeniu oraz nowoczesnym technologiom, które wykorzystujemy na co dzień. Nasz zespół stale podnosi swoje kwalifikacje, aby oferować Ci najnowsze i najskuteczniejsze metody leczenia dostępne w dziedzinie stomatologii.
W Zdrowit Stomatologia każdy Pacjent jest dla nas wyjątkowy, a jego satysfakcja i zdrowie są naszym priorytetem. Przekonaj się sam, jak możemy poprawić jakość Twojego życia dzięki profesjonalnej opiece stomatologicznej!
Pani Teresa
Pani Teresie brakowało jednego zęba, co odbierało jej pewność siebie. Dlatego zdecydowaliśmy się wszczepić w to miejsce implant z koroną idealnie dopasowaną do jej naturalnych zębów. Dziś Pacjentka znów może swobodnie jeść i z uśmiechem cieszyć się każdym dniem.
Pan Damian
Pan Damian od dłuższego czasu odczuwał dyskomfort podczas jedzenia z powodu brakującego zęba. Po dokładnej diagnostyce zamocowaliśmy implant w jego miejscu i wykonaliśmy koronę idealnie dopasowaną do naturalnych zębów. Dzięki temu odzyskał pełną funkcję zgryzu i swobodę uśmiechu każdego dnia. Pacjent znów czuje się swobodnie i bez obaw uśmiecha się w każdej sytuacji.
Pan Henryk
Pan Henryk miał problem z brakami w uzębieniu, które pogarszały jego komfort życia. Po dokładnej diagnostyce zaplanowaliśmy leczenie implantologiczne — wszczepiliśmy implanty i wykonaliśmy korony w odcinkach bocznych. Dzięki temu Pacjent odzyskał pełną funkcję zgryzu oraz naturalny, estetyczny uśmiech. Dziś może znów jeść bez ograniczeń i z dumą pokazywać zdrowe zęby.
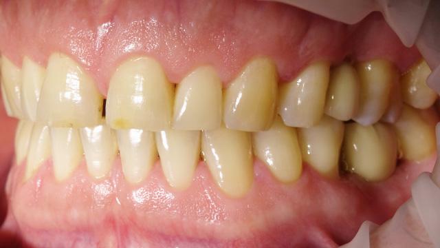
Pan Kazimierz
Pan Kazimierz nie mógł się pogodzić z utratą przedniego zęba, a także z przebarwieniami i osadami na pozostałych. Po kompleksowej higienizacji zdecydowaliśmy się umieścić implant w miejscu brakującego zęba i koronę protetyczną idealnie dopasowaną kolorem do sąsiednich. Dodatkowo odtworzyliśmy jeden ząb za pomocą estetycznego wypełnienia kompozytowego. Naturalny i harmonijny uśmiech przywrócił Pacjentowi pewność siebie i radość z uśmiechu.
Pan Jędrzej
Pan Jędrzej od dłuższego czasu zmagał się z brakiem zębów w górnym łuku, co bardzo mu przeszkadzało na co dzień. Po dokładnej diagnostyce zaplanowaliśmy leczenie implantologiczne. Wszczepiliśmy cztery implanty, a następnie wykonaliśmy protezę overdenture opartą na implantach. Pacjent odzyskał stabilny, komfortowy uśmiech i pełną funkcję żucia. Dziś znów może mówić i śmiać się bez skrępowania, ciesząc się wygodą każdego dnia.
Pani Agata
Pani Agata uważała, że potrzebuje gruntownej odmiany estetyki swojego uśmiechu. Na początek przeprowadziliśmy kompleksową higienizację. Kolejnym krokiem było wybielanie z wykorzystaniem żelu aktywowanego specjalną lampą. Na koniec uzupełniliśmy brak zębowy za pomocą mostu cyrkonowego. Teraz Pani Agata może już w pełni cieszyć się swoim odnowionym uśmiechem.
Pani Ewelina
U Pani Eweliny dokonaliśmy korekcji zgryzu. Wykonaliśmy kompleksową higienizację, a leczenie ortodontyczne przeprowadziliśmy za pomocą stałego aparatu metalowego. Efektem jest prawidłowe już teraz ułożenie zębów.
Pani Anna
Pani Anna odwiedziła nas przede wszystkim, by uzupełnić braki zębowe. Przeprowadziliśmy kompleksową higienizację, a następnie przystąpiliśmy do leczenia zachowawczego i odbudowy uzębienia. Na dwóch zębach założyliśmy wypełnienia kompozytowe, natomiast braki zębowe uzupełniliśmy za pomocą kompozytowego mostu adhezyjnego, z wykorzystaniem włókna szklanego.
Pani Iza
U Pani Izy wykonaliśmy kompleksową higienizację, a następnie odbudowy uzębienia za pomocą korony porcelanowej na cyrkonie. Dzięki temu uśmiech Pacjentki uległ korzystnej przemianie.
Pani Magda
Pani Magda potrzebowała odbudowy braków zębowych oraz estetycznej odnowy uśmiechu. Wykonaliśmy most porcelanowy na metalu oraz protezę szkieletową mocowaną na zasuwach. Przeprowadziliśmy także profesjonalną higienizację jamy ustnej.
Pani Joanna
Ząb Pani Joanny wymagał leczenia endodontycznego. Przeprowadziliśmy zabieg sprawnie i skutecznie. Następnie zajęliśmy się odbudową uzębienia Pacjentki, stosując do tego celu korony porcelanowe na cyrkonie. Teraz Pani Joanna może cieszyć się pięknym, zdrowym uśmiechem.
Pani Kasia
Pracę nad uśmiechem Pani Kasi rozpoczęliśmy od kompleksowej higienizacji. Następnie na czterech zębach wykonaliśmy korony porcelanowe na cyrkonie. Nasza Pacjentka jest bardzo zadowolona z efektów naszej pracy, a i jej bliscy przyznają, że rezultaty robią wrażenie.
Pani Patrycja
Przegląd stomatologiczny wykazał u Pani Patrycji obecność zróżnicowanych problemów z uzębieniem. Nasze działania rozpoczęliśmy od profesjonalnej higienizacji. Przeprowadziliśmy leczenie endodontyczne lewej górnej czwórki. Na prawej górnej piątce założyliśmy wypełnienie kompozytowe, a na odcinku od lewej do prawej czwórki korony porcelanowe na metalu. Teraz Pani Patrycja może już cieszyć się nowym, zdrowym uśmiechem.
Pan Ryszard
Pan Ryszard potrzebował odbudowy braków zębowych i kompleksowej odnowy uśmiechu. Przeprowadziliśmy profesjonalną higienizację. W miejsce brakującej górnej prawej jedynki wszczepiliśmy implant, na którym następnie zamocowaliśmy koronę protetyczną. Dopełnieniem naszej pracy było wypełnienie kompozytowe na sąsiadującej jedynce.
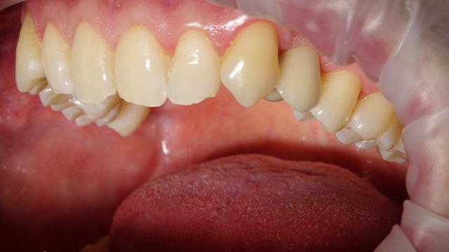
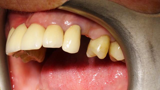
Pan Tomasz
Pan Tomasz potrzebował uzupełnienia braku zębowego. Uzupełnienia wymagała lewa górna czwórka. Wszczepiliśmy w to miejsce tytanowy implant i zamocowaliśmy na nim koronę protetyczną, doskonale odtwarzającą wygląd i funkcje naturalnej korony. To uzupełnienie protetyczne jest praktycznie nie do odróżnienia od własnych zębów Pana Tomasza.
Pani Klaudia
Pani Klaudia potrzebowała pełnej odmiany uśmiechu. Jak zwykle, zaczęliśmy od kompleksowej higienizacji. Na siedmiu zębach wykonaliśmy korony na cyrkonie. Uzupełnienie braków zębowych wymagało od nas także wszczepienia dwóch implantów i zamocowania protezy szkieletowej w dolnym łuku. Odbudowa uśmiechu Pani Klaudii wymagała więc sporo pracy, ale osiągnięty efekt jak najbardziej jest tego wart.
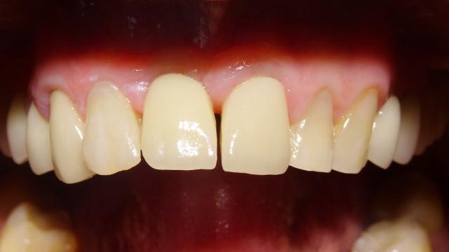
Pan Mateusz
Panu Mateuszowi złamał się ząb, górna jedynka. Zabraliśmy się do dzieła. Najpierw przeprowadziliśmy kompleksową higienizację, a następnie odbudowaliśmy ząb za pomocą odpowiednio dopasowanego wypełnienia kompozytowego.
Pani Aleksandra
Problemem Pani Aleksandry były braki zębowe. Przystąpiliśmy do odbudowy jej uśmiechu. W tym celu wykonaliśmy trzypunktowy most porcelanowy na metalowej podbudowie. Tym sposobem Pani Aleksandra odzyskała funkcjonalność i estetykę swojego uzębienia.
Pani Monika
Uzębienie Pani Moniki wymagało odbudowy. Wykonaliśmy korony porcelanowe na metalowej podbudowie, przywracając w ten sposób Pani Monice kompletny uśmiech, a wraz z nim pełną funkcjonalność i estetykę zębów.
Robert
U czternastoletniego Roberta problemem była wada zgryzu. Przeprowadziliśmy leczenie metalowym aparatem stałym, które pozwoliło przywrócić zęby na prawidłowe pozycje. Dopełnieniem naszych działań była kompleksowa higienizacja.
Basia
U dziesięcioletniej Basi przeprowadziliśmy leczenie ortodontyczne. Wymagało ono usunięcia zęba mlecznego oraz zastosowania stałego aparatu metalowego. Terapia przyniosła założone efekty, przemieszczając zęby naszej Pacjentki na prawidłowe pozycje.
